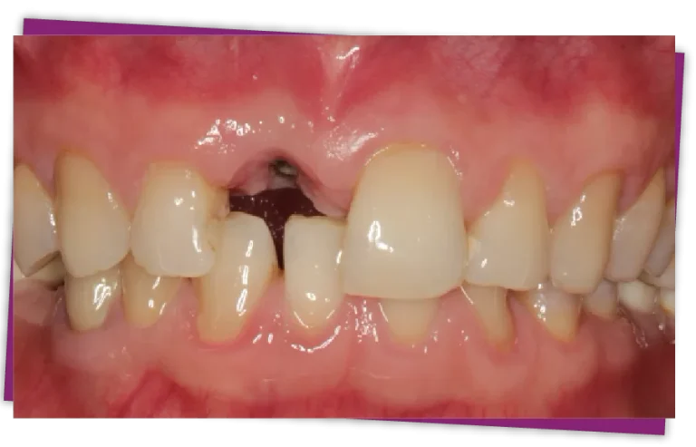
IMPLANT PLACEMENT AFTER TEETH REMOVAL
Dental implants are the most comprehensive solution today to have teeth that feel natural, andachieve up to 90% of the chewing function. Dental implants, tooth extraction and Implant placement are done in one operation, also known as Implant Placement After Teeth Removal. It is increasingly and widely applied to new teeth extraction technique.
IMPLANT PLACEMENT PROCESS
The surgeon exposes the root, using a non-traumatic extraction technique to gently remove the root without damaging the alveolar bone and gum tissue.
After taking the teeth out, the surgon will place the Implant and add bone graft if necessary.
During the implant placement surgery, the alveolar bone is in an ideal state to place the Implant. If the extraction is done not in accordance with the technical expertise, it will be easy to break the alveolar bone, and it will take time to regenerate before implantation. Therefore, it is necessary to extract teeth using non-traumatic techniques, to ensure that the alveolar bone and gum tissue are not damaged.
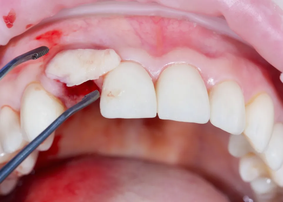
Bone or tissue grafting
Bone and tissue grafting are advanced dental procedures used to rebuild and strengthen the structures that support your teeth and gums. When bone loss or gum recession occurs due to gum disease, infection, trauma, or missing teeth, grafting helps restore stability, improve oral health, and create a strong foundation for future treatments like dental implants.
These procedures are safe, predictable, and essential for patients who want to restore or preserve the natural shape, function, and aesthetics of their smile.
Why Bone or Tissue Grafting Is Needed
Bone or tissue loss can happen for several reasons:
- Gum disease
- Tooth loss and long-term missing teeth
- Trauma or injury
- Infection
- Natural aging
- Genetic factors
Without enough bone or healthy gum tissue, teeth can become loose, implants cannot be placed properly, and the risk of further oral health problems increases.
Grafting restores what was lost—protecting your smile and supporting long-term oral health.
Bone Grafting
- Bone grafting rebuilds areas where bone has deteriorated. This is often needed:
- Before placing dental implants
- To preserve the jawbone after tooth extraction
- To repair damage from gum disease
- To strengthen weak bone areas
- A small amount of bone material (your own, synthetic, or donor bone) is placed in the weakened area. Over time, your body naturally regenerates new bone, creating a stronger, healthier foundation.
- Benefits of Bone Grafting
- Creates proper support for dental implants
- Prevents bone collapse after extraction
- Stops further bone loss
- Enhances long-term oral health
Tissue (Gum) Grafting
Tissue grafting is used to treat gum recession—when the gumline pulls away and exposes the tooth roots. This condition can cause sensitivity, decay, and an uneven smile.
A tissue graft replaces the lost gum tissue, protects the tooth roots, and restores a healthy, balanced gumline.
- Benefits of Bone Grafting
- Covers exposed roots
- Reduces sensitivity
- Prevents further recession
- Enhances gum health
- Improves smile aesthetics
What to Expect During the Procedure
- 1. Comprehensive Evaluation
- Your dentist examines the condition of your bone and gums using digital X-rays or 3D imaging.
- 2. Treatment Planning
- A customized plan is created based on your needs—bone graft, tissue graft, or both.
- 3. Grafting Procedure
- The grafting material is placed in the targeted area under local anesthesia for comfort.
- 4. Healing & Regeneration
- Over the next few weeks or months, your body naturally integrates the graft and grows new bone or tissue.
- 5. Follow-Up Appointments
- Your dentist monitors the healing process to ensure strong, predictable results.
Stronger Support for a Healthier Future
Bone and tissue grafting are essential steps for restoring oral health, preventing further damage, and preparing for future treatments like implants. With modern materials and advanced techniques, grafting is more comfortable and reliable than ever—helping you regain a stable, functional, and attractive smile.





